Implants
A dental implant is an option to replace a missing tooth. In this procedure, a small titanium screw is surgically implanted into the bone and allowed to set. The bone grows around it forming a tight connection, which additionally slows or stops the bone loss that occurs when the root of a natural tooth is missing. Once the implant is firmly set in the mouth, the dentist then works to attach the replacement tooth onto the top of the implant.
Dental implants are considered to be the most important advance in dentistry in the past 100 years. They allow us to predictably replace missing teeth in a very esthetically pleasing manner without compromising the integrity of the adjacent teeth and without the aid of removable appliances.
Implants can also be used as support as part of an implant bridge. 
This is an alternative to partial dentures, and has several advantages. First, there is no adjustment period to acclimatize the patient who, once the work is done, the patient only feels teeth, not metal supports intruding into the mouth. Second, this slows the bone loss occasioned by missing teeth. Third, there is no discomfort or difficulty in eating. And, best of all, of course, they don't have to be taken out.
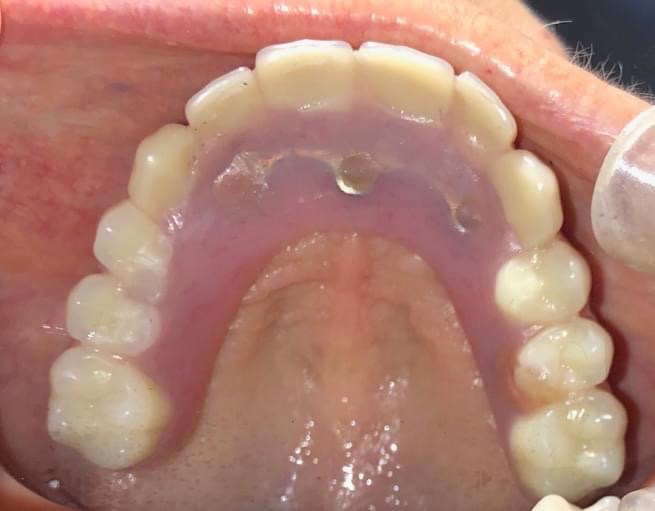
implant supported lower denture
For a cost-effective way of replacing many missing teeth, dentures can be held securely in place with implants, providing a great improvement from traditional removable dentures.
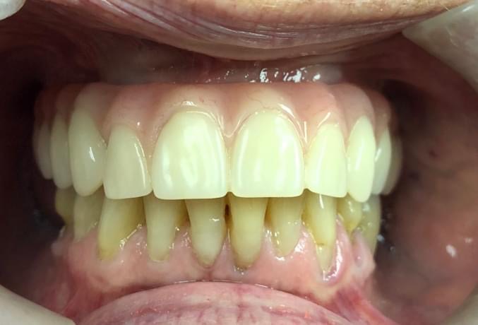
Single Implant Replacing two missing front teeth:
Single Implants replacing two Front teeth
All- On- 5 technique: Implant Retained Dentures that patient does not remove