|
Tooth Extractions & Socket Preservation Unfortunately, sometimes a tooth cannot be saved and it needs to be removed due to fracture, infection, or extremely deep decay. Dr. Kotevska will extract the tooth very carefully and painlessly from the socket without damaging any adjacent teeth or supporting bone. Once the socket is completely sterilized, it is often filled with a graft material which both speeds the healing process and ensures that the tooth can later be replaced with either a dental implant or a natural looking dental bridge. Loosing bone can create major problems in performing restorative dentistry whether your treatment involves dental implants, bridges or dentures. Jaw deformities from tooth removal can be prevented and repaired by a procedure called socket preservation. Socket preservation can greatly improve your smile’s appearance and increase your chances for successful dental implants for years to come. Dr. Kotevska uses several techniques to preserve the bone and minimize bone loss after an extraction. In one common method, the tooth is removed and the socket is filled with bone graft. It is then covered with gum, artificial membrane, or tissue stimulating proteins to encourage your body’s natural ability to repair the socket. With this method, the socket heals eliminating shrinkage and collapse of surrounding gum and tissues. The newly formed bone in the socket also provides a foundation for an implant to replace the tooth. If your dentist has recommended tooth removal, be sure to ask if socket preservation is necessary. Crown Lengthening Crown lengthening is usually performed to improve the health of the gum tissue, prepare the mouth for a procedure, or correct a “gummy smile”. A “gummy smile” is used to describe an instance where teeth are covered with excess gum tissue resulting in a less esthetically-pleasing smile. The procedure involves reshaping or recontouring the gum tissue and bone around the tooth in question to create a new gum-to–tooth relationship. Crown lengthening can be performed on a single tooth, many teeth or the entire gum line. Crown lengthening is often required when your tooth needs a new crown or other restoration. The edge of that restoration is deep below the gum tissue and not immediately accessible. It is also usually too close to the bone or below the bone. Crown lengthening allows us to reach the edge of the restoration, ensuring a proper fit to the tooth. It should also provide enough tooth structure so the new restoration will not come loose in the future. This allows you to clean the edge of the restoration when you brush and floss to prevent decay and gum disease.
Sinus GraftingWhen a dental implant is planned for the upper molars area, the bone is sometimes limited by the sinuses. The maxillary sinus is an air space located above the upper teeth within the bone. Over time this space will expand if the teeth in the area are missing. In order to provide enough bone to secure the implant firmly in place, sinus grafting is sometimes needed. Usually this can be done at the same time as the surgical placement of the implant. But occasionally, a two-stage process becomes the treatment of choice due to the extent of the grafting needed.
FrenectomyA maxillary labial frenum is a naturally occurring muscle attachment, normally seen between the front teeth (either upper or lower). It connects the inner aspect of the lip with the gum. A lack of attached gingiva, in conjunction with a high (closer to the biting surface) frenum attachment, which exaggerates the pull on the gum margin, can result in recession. Additionally, an excessively large frenum can prevent the teeth from coming together resulting in a gap between the front teeth. If pulling is seen or the frenum is too large to allow the teeth to come together, the frenum is surgically released from the gum with a frenectomy.
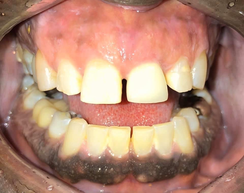
Gum Bleaching we can use a laser to remove dark pigmentation on the gum tissue (pt was just interesed in downing the top arch 1st)
Sedation Dentistry A trip to the dentist can be a very anxious event. Your absolute comfort during dental treatment is our top priority. We strive to provide a very relaxed and comfortable atmosphere. Many of our procedures can be done with local anesthetic alone. This means that the area of focus is completely numbed and the procedure can be completed painlessly. We also offer Intravenous (IV) sedation in our office. You must have a driver present with you at the office to take you home after your visit. Ask us about your options for sedation dentistry at your next visit!
|
Floyds Knobs, IN 47119
(812) 923-9004
